充実した設備で
安全・
高精度な歯科医療を
院内全体を感染リスク
のない環境へ



マスクや
グローブ
の着用

スタッフ・患者様の
検温の必須化

こまめな手洗い・
消毒

定期的な設備・
院内の消毒

全スタッフが
ワクチン接種済み

受付に
飛沫防止シート
来院される方へのお願い
来院される方へのお願い
来院時には検温・手指消毒・マスク着用にご協力ください。
受診前14日以内に下記の項目に1つでも該当する方は、他の患者さまの感染予防のため受診を見合わせていただくようお願いいたします。
上記項目に当てはまる方で、歯科の症状が強くお困りの場合は直接来院せずに、まずは当院まで電話でご相談ください。
また、下記のいずれかを満たす場合は、来院前に最寄りの保健所又はかかりつけ医などお近くの医療機関へご相談くださいますようお願いいたします。
全ての患者さまが安心して受診できますよう、
ご理解とご協力をお願い申し上げます。

当院では皆さまに安心して治療を受けていただくために、世界最高水準の滅菌器をはじめ、充実した衛生設備を導入し、世界基準の衛生システムで院内感染の予防に努めています。正しい知識のもと日々の診療に従事し、高い安全性と信頼の歯科医療を患者さま一人ひとりに提供することをお約束いたします。



患者さま毎に
器具を交換
使い捨て製品を
活用
快適でより精度の
高い診療を

名古屋市港区の歯医者マリンみなと歯科で導入しているマイクロスコープは、肉眼の21.3倍の拡大率で、歯や歯の周囲を細かく観察することができ、診断や治療精度の向上などに役立ちます。
削る量を最小限に抑えられるため、また治療の確実性と封鎖性を高め、再発リスクを抑えることで歯を保存することができます。
マイクロスコープ を用いた治療は、根管(歯の神経)治療、歯周病治療の他、虫歯治療から審美歯科まで様々な歯科治療で応用することができます。




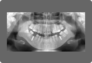
当院では歯科用CTから得られる鮮明な画像から精度の高い診断・安全な治療を行っています。
従来のレントゲンは2次元(平面)の情報のみでしたが、歯科用CTを用いると3次元(立体)の情報を得られ、肉眼で見ただけでは決してわからない顎の骨・歯根の形態、神経の位置などがより正確に把握できます。
一般的な歯科治療はもちろん、インプラントや親知らずの抜歯など外科的な高度治療の診断・シュミレーションにも役立ち、頭部X線規格写真(セファロ)でより精度の高い矯正歯科治療を行うこともできます。
また撮影時間が短く低被曝で、患者さまへの負担も少なく安全です。






検査結果や治療内容を専用のソフトを用いてアニメーションやイラストでわかりやすく説明します。ご自身の現在、治療前後の状況を把握していただくことで患者さまにお口の健康について関心を持っていただき、治療や予防により理解を深めていただきながらカウンセリングを行います。
当院では患者さまが納得・安心した上で治療を進めていくことを大切にしています。説明した資料は印刷してお渡しいたしますのでご安心ください。


